維港口腔三康門診 專業牙醫

您的當前位置:案例展示 >

全瓷牙冠修復案例

導語:重新修复前 重新修复前 重新修复后 重新修复后 重新修复后的微笑 重新修复后的微笑


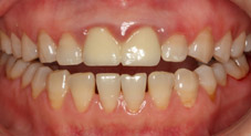
重新修复前


重新修复前


重新修复后


重新修复后

重新修复后的微笑


重新修复后的微笑

“效果因人而異/ 效果根據身體狀況會有所不同”

 
微信二維碼
WeChat QR Code
微信二維碼

香港電話:+852 5163 5310
深圳電話:+86 134 1885 8800

WhatsApp:+852 5163 5310   敬請預約!

WeChat:86 134 1885 8800

溫馨提示:提前預約登記,X-ray、CT院內檢查免費,3D數字掃描免費。本地牙醫,放心睇牙。另有速遞代收存放服務。

維港口腔三康門診:羅湖區春風路廬山大廈B座21樓(近羅湖口岸、向西村地鐵站A2出口、國貿地鐵站B出口)

友情鏈接:
WeChat ID已複製

點擊「打開微信」進入微信,點右上⊕,粘貼ID,添加客服開始免費咨詢!