杜牙根嘅步驟
1、術前拍攝X線片
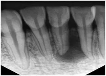
在
過程中,在杜牙根術前拍X線片,以幫助診斷,瞭解髓室的位置和根管數目及形態,測量根管工作長度及日後隨訪和評價療效提供對比的依據。

2、揭開髓腔
去淨腐質和原有充填物、揭淨隨頂,看到整個髓底解剖結構以便後續治療順利進行。
3、確定根管工作長度
應用平行投照X線方法、根管長度測量儀確定根管度,最好插針拍X片。
4、根管預備
根管清理成形的目的是去淨根管壁上的感染物,通過根管器械的切削作用去除感染的牙本質並清理根管壁細菌以利於根管充填。
5、根管沖洗、消毒
根管沖洗的目的是清除微生物、沖掉殘渣,潤滑根管器械和溶解有機殘渣。然後,再進行根管消毒,使根管內達到無菌狀態。
6、根管充填
封閉整個根管系統、堵塞主根管和側副根管出口、防止微生物和液體的滲漏。無論是側方加壓法還是垂直加壓法,應做到根管充填緻密,根管充填後X線片上無根管腔隙,也不能超出根尖孔。
7、根管打樁
因牙體缺損過多,導致牙的強度(承受力量的性能)大幅度下降,不能很好地承受咀嚼力量。打樁的目的是增加牙根及牙冠的強度,增加患牙的穩固。
8、完成牙體修復
X線片顯示根管充填完好,行暫時或永久牙體修復,帶上牙冠,保護患牙。至此杜牙根才可算完成,同時杜牙根後還需復診,一般週期可為3個月、半年、1年、2年或更長。
深圳三康口腔作為平價好牙醫,杜牙根包瓷牙套套餐1500元,歡迎諮詢與預約請聯絡:+852 65250082(香港)、+86 13143880082(深圳)
在
過程中,在杜牙根術前拍X線片,以幫助診斷,瞭解髓室的位置和根管數目及形態,測量根管工作長度及日後隨訪和評價療效提供對比的依據。

2、揭開髓腔
去淨腐質和原有充填物、揭淨隨頂,看到整個髓底解剖結構以便後續治療順利進行。

3、確定根管工作長度
應用平行投照X線方法、根管長度測量儀確定根管度,最好插針拍X片。

根管清理成形的目的是去淨根管壁上的感染物,通過根管器械的切削作用去除感染的牙本質並清理根管壁細菌以利於根管充填。

5、根管沖洗、消毒
根管沖洗的目的是清除微生物、沖掉殘渣,潤滑根管器械和溶解有機殘渣。然後,再進行根管消毒,使根管內達到無菌狀態。

6、根管充填
封閉整個根管系統、堵塞主根管和側副根管出口、防止微生物和液體的滲漏。無論是側方加壓法還是垂直加壓法,應做到根管充填緻密,根管充填後X線片上無根管腔隙,也不能超出根尖孔。

7、根管打樁
因牙體缺損過多,導致牙的強度(承受力量的性能)大幅度下降,不能很好地承受咀嚼力量。打樁的目的是增加牙根及牙冠的強度,增加患牙的穩固。
X線片顯示根管充填完好,行暫時或永久牙體修復,帶上牙冠,保護患牙。至此杜牙根才可算完成,同時杜牙根後還需復診,一般週期可為3個月、半年、1年、2年或更長。

深圳三康口腔作為平價好牙醫,杜牙根包瓷牙套套餐1500元,歡迎諮詢與預約請聯絡:+852 65250082(香港)、+86 13143880082(深圳)
上一篇:牙痛,幾時要杜牙根好咧?
下一篇:4個隱形箍牙常見的誤區